

72775 Frank Sinatra Drive Suite A & B Rancho Mirage, CA 92270, United States
72775 Frank Sinatra Drive Suite A & B Rancho Mirage,
CA 92270, United States
👋 RANCHO MIRAGE & Neighbors - Are you struggling with discomfort, missing, or cracked teeth? Discover a permanent solution with All-on-X Implants. Our All-on-X implants, gives you a complete, natural-looking smile, that’s secure and stable.
Complimentary Consultation
Complimentary X-rays
Flexible Payment Plans
👋 Rancho Mirage & Neighbors - Are you struggling with discomfort, missing, or cracked teeth? Discover a permanent solution with All-on-X Implants. Our All-on-X implants, gives you a complete, natural-looking smile, that’s secure and stable.
Complimentary Consultation
Complimentary X-rays
Flexible Payment Plans
👋 Calgary & Neighbours - Are you struggling with discomfort, missing, or cracked teeth? Discover a permanent solution with All-on-X Dental Implants. Our All-on-X dental implants, gives you a complete, natural-looking smile, that’s secure and stable.
Complimentary X-rays ($300 value)
Flexible Payment Plans (Priceless)
0% Interest Financing
Your All-On-X Implants Special offer includes Complimentary Consultation, CBCT Scan, X-ray, Oral Exam, Bite & Gum Assessment & Flexible Payment Options.
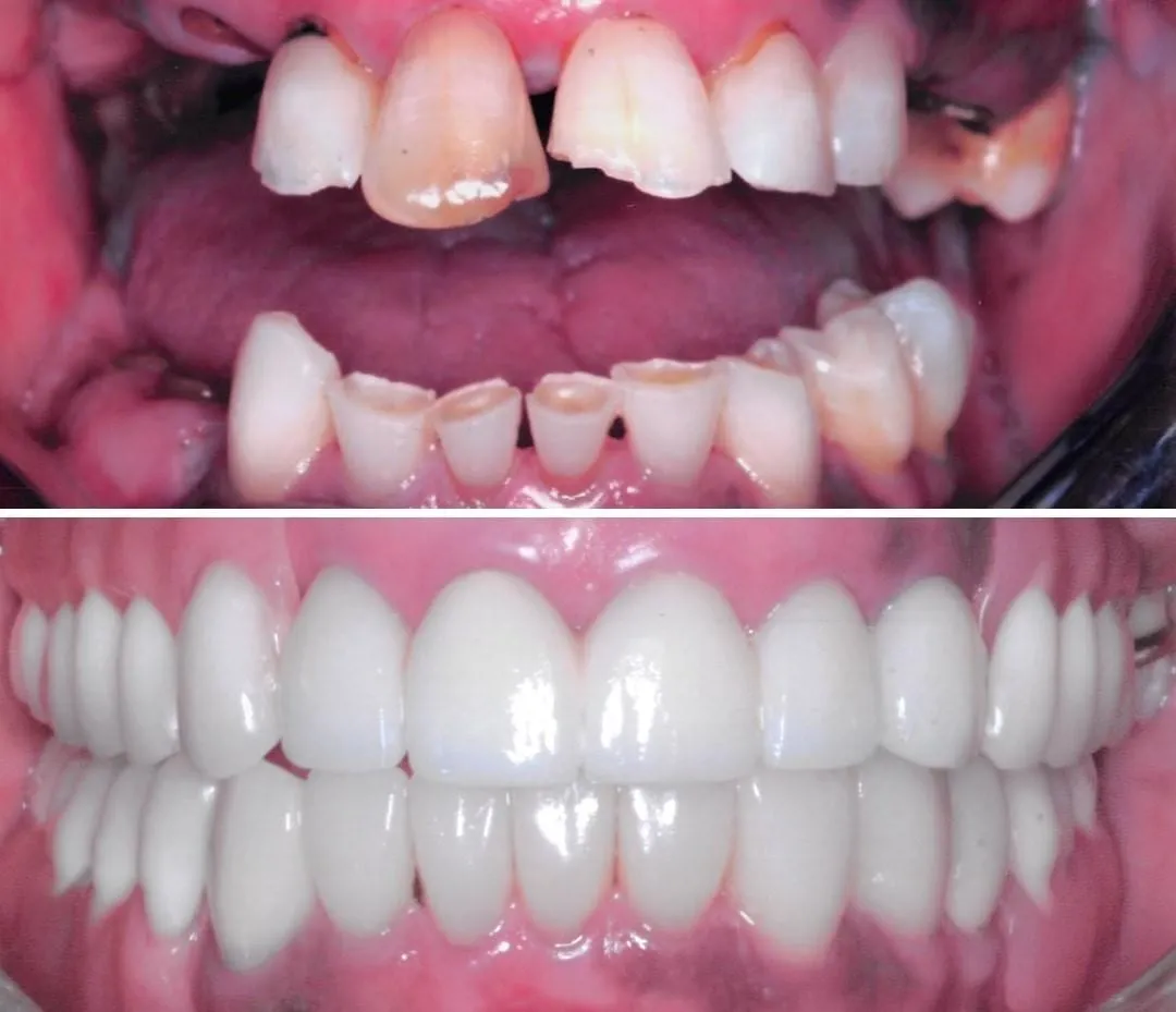
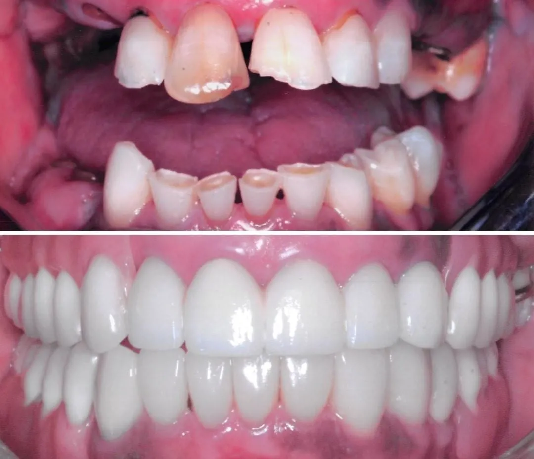
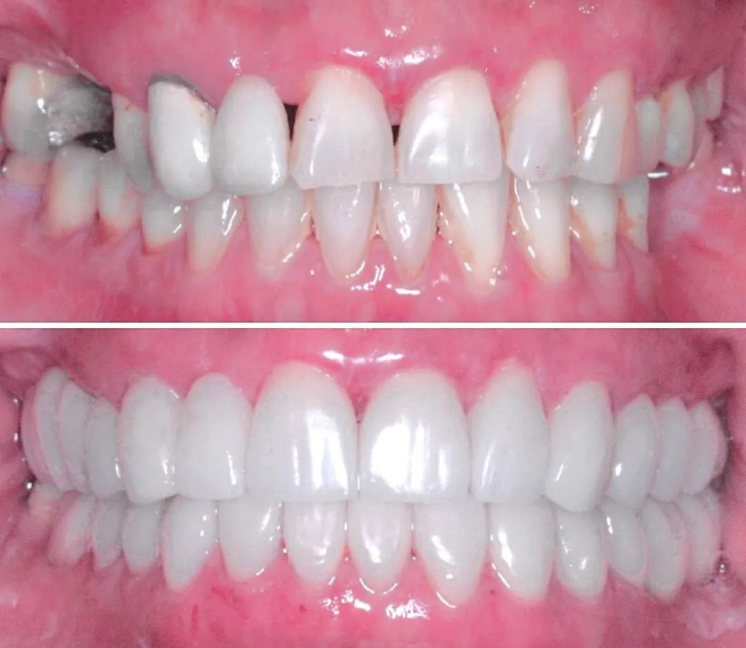
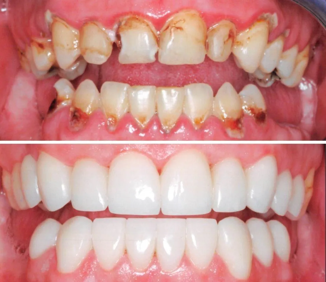
The All-on-X treatment concept offers an implant-based solution for patients who have lost all of their upper and/or lower teeth. This remarkable method helps patients quickly rebuild complete and beautiful smiles. With All-on-X, your new, complete set of implant-supported replacement teeth will feel secure, stable, and just like your very own.

The All-on-X treatment concept offers an implant-based solution for patients who have lost all of their upper and/or lower teeth. This remarkable method helps patients quickly rebuild complete and beautiful smiles. With All-on-X, your new, complete set of implant-supported replacement teeth will feel secure, stable, and just like your very own.




Dental implants (Full Arch) are a special way to replace missing teeth. Instead of getting one implant for each missing tooth, a few implants (usually 4 or more) are placed in your jaw to support a full set of new teeth. It's like building a strong bridge with solid support beams, making sure your new teeth are stable and won't move around.

Unlike implants are great because they give you a full, beautiful smile quickly. You don't need one implant for each tooth, which saves time and money. Plus, they are strong and last a long time, letting you eat, talk, and smile confidently.

A dental implant is an artificial root made of titanium metal that serves as a substitute for the root of a missing tooth. The top of the implant is attached to an artificial tooth (crown), resulting in a beautiful natural-looking replacement tooth.

Dental implants (Full Arch) are a special way to replace missing teeth. Instead of getting one implant for each missing tooth, a few implants (usually 4 or more) are placed in your jaw to support a full set of new teeth. It's like building a strong bridge with solid support beams, making sure your new teeth are stable and won't move around.

A dental implant is an artificial root made of titanium metal that serves as a substitute for the root of a missing tooth. The top of the implant is attached to an artificial tooth (crown), resulting in a beautiful natural-looking replacement tooth.

Dentures usually are fitted with an attachment that clicks to top of implant and stay secure. No up, down or sideways movements occur providing well fitted dentures that work much more efficiently than one with dental implant.

Dentures usually are fitted with an attachment that clicks to top of implant and stay secure. No up, down or sideways movements occur providing well fitted dentures that work much more efficiently than one with dental implant.

Unlike traditional dentures that can slip and need regular adjustments, these implants stay in place and you can feel just like having your natural teeth back. This means you can laugh freely, speak clearly, and eat whatever you want without worry."



















Dr. Rod Strober is a highly experienced cosmetic and implant dentist with nearly 30 years of delivering top-notch, patient-centered care. Having built successful practices in Boston and San Diego, he now brings his expertise to Rancho Mirage as the owner of Country Club Dentistry.
Building a Foundation
Dr. Strober's journey began on Long Island, New York, where his interest in the intricate blend of art and science led him to pursue a career in dentistry. He graduated from Skidmore College in 1989 with a strong foundation in both science and liberal arts. He continued his education at The State University of New York at Buffalo School of Dental Medicine, where he earned his degree in 1993. This educational path allowed him to merge his artistic sensibilities with scientific precision, shaping his approach as a general and cosmetic dentist.
After graduation, Dr. Strober practiced in Boston for 14 years, where he honed his skills and developed a patient-focused philosophy that would become the cornerstone of his career. The cold winters eventually led him to move to San Diego, where he seized the opportunity to start his own practice.
Creating a Community
In San Diego, Dr. Strober transformed a modest practice into a thriving enterprise. His dedication to patient care and his commitment to utilizing the latest technologies and techniques in dentistry allowed him to build a strong, loyal patient base. His practice, which grew to be worth $2.5 million, was known for its outstanding customer service and innovative treatments.
Dr. Strober has always believed in treating patients like family, understanding their needs, and providing care with empathy and compassion. This philosophy, combined with his commitment to staying current with dental advancements, has earned him a reputation for excellence.
Mastery in Dental Implants
One of Dr. Strober’s areas of expertise is dental implants. In 2019, he achieved a Mastership from the International Dental Implant Association, a distinction that required over 250 hours of continuing education and the surgical placement of more than 50 dental implants. Over his career, he has placed well over 1,000 implants, helping patients restore their smiles and improve their oral health. His expertise includes advanced procedures like All-On-X, which uses 4-6 dental implants to support a permanent porcelain hybrid bridge, offering both functional and esthetic benefits.
Dr. Strober’s Return to Dentistry
After 25 years of practice in Boston and San Diego, Dr. Strober decided to retire to Rancho Mirage. However, his passion for dentistry and his desire to serve the community led him back to the field. He acquired Country Club Dentistry, where he applies the same dedication to quality care and patient-centered service that defined his earlier practices.
In his current role, Dr. Strober offers a comprehensive range of services, from routine dental care to complex cosmetic and restorative procedures. He continues to focus on providing personalized care in a comfortable, modern setting, ensuring that each patient feels valued and understood.
Embracing Innovation
Dr. Strober is a firm believer in the power of technology to enhance patient care. At Country Club Dentistry, he uses advanced equipment like the CEREC machine, which allows him to design and mill custom crowns in a single visit. This innovation not only speeds up the process but also improves the precision and esthetic quality of the results.
In addition to his technical skills, Dr. Strober offers cosmetic treatments like BioClear, a minimally invasive procedure that can correct discoloration, gaps, and other imperfections without unnecessary drilling. This technique strengthens teeth while delivering dramatic, natural-looking improvements in a single appointment.
Active Recreation
While dentistry is a significant part of Dr. Strober’s life, he also enjoys staying active outside the office. His hobbies include working out, playing pickleball, and participating in step aerobics, which help him maintain a balanced and energetic lifestyle.
Dr. Rod Strober is excited to continue his legacy of excellence at Country Club Dentistry in Rancho Mirage, where he combines nearly three decades of experience with a passion for patient care.
Discover Dr. Strober’s Philosophy
Discover the dedication and care that make our practice special.
He focuses on the health, functionality, and beauty of each patient’s smile. His favorite part of dentistry is finding new and better ways to serve his patients.
Dr. Strober’s extensive post-doctoral training in dental implants allows him to make smiles new and functional again. He is heavily involved in local and regional dental associations. His interactions with peers and formal training help him stay at the leading edge of dentistry.









We may not be the right fit if...
❌ You're solely price shopping.
❌ You don't value the Doctor's time.
If you're a good fit,
Follow the 3 easy steps below to begin your journey:
Secure Your Spot by Clicking Below and Providing Your Details.
Secure your spot by clicking below and providing your details.
Call Us and Mention the Coupon Code
on the Next Page to Book Your Consultation.
Call us and mention the coupon code
on the next page to book your consultation
Please Commit to Your Chosen Appointment Time, as We Can't Reschedule Missed Appointments.
Please commit to your chosen appointment time, as we can't reschedule missed appointments.
The procedure typically takes a few hours, but it might require several visits for planning and follow-ups. Many patients can have temporary teeth placed on the same day as the surgery.
The procedure is done under anesthesia, so you won't feel pain during the surgery. After the procedure, you might feel some discomfort, but this can be managed with medication.
With proper care, All-on-X Implants can last a lifetime. Regular dental check-ups and good oral hygiene are essential for their longevity.
Most people who are missing several teeth can get implants. However, a dentist needs to evaluate your overall health and bone structure to ensure you're a good candidate.
All-on-X implants are more stable and comfortable than dentures. They don't slip or need adhesive, and they help maintain the bone structure of your jaw, keeping your face looking natural.
© 2025 ' COUNTRY CLUB DENTISTRY '
Privacy Policy | Terms and Conditions
This site is not a part of the Facebook website or Facebook Inc. Additionally, This site is NOT endorsed by Facebook in any way. FACEBOOK is a trademark of FACEBOOK, Inc.
© 2025 ' COUNTRY CLUB DENTISTRY '
Privacy Policy | Terms and Conditions
This site is not a part of the Facebook website or Facebook Inc. Additionally, This site is NOT endorsed by Facebook in any way. FACEBOOK is a trademark of FACEBOOK, Inc.